Greendale Patrol Officer Heather Bohl admits she's a bit of a helicopter K-9 handler when it comes to Tiggy, and that's exactly why the pup's blastomycosis was caught and treated early.

Lesions caused by blastomycosis spread on Tiggy before he was treated.

Patrol Officer Heather Bohl of Greendale Police Department freely admits she’s not just a K-9 handler; she’s a helicopter dog mom. That turned out to be a very good thing last fall, when her police chief found a small lesion tucked under some fur on her K-9’s tail. Bohl’s rotors started whirling, and she took Tiggy to see Dr. Ellen Mueller right away.

“She took a sample from the wound itself and told us to keep an eye on it,” said Bohl. “It didn’t look cancerous.” The open sore on Tiggy’s tail was itchy, but the gentle dog just seemed a little tired, fussed at it and continued working as usual. “Within a week, though, he had 10 lesions on him. They just kept popping up.”

“He underwent a sedated procedure to biopsy his mass,” said Mueller. “By the time of that procedure, he had developed many more sores, and they were all ulcerated.” When the pathology report came back, it was evident there was a high concentration of fungal organisms. “Those results, along with the findings from a urine test, were consistent with blastomycosis.”

Mueller said blastomycosis is endemic in Wisconsin. It is a disease that occurs when a pet disturbs soil, or decomposing organic matter like leaves, that are contaminated with the fungus. The pet inhales the spores, which then start damaging and spreading in the lungs. Sometimes the illness presents with more respiratory-related symptoms, but other times it’s more like what Tiggy experienced with skin-related troubles.

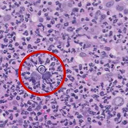
This histopathology image reveals the blasto organism.

“The disease can be very serious,” said Mueller. “If the condition worsens, the pet might develop complications beyond skin and lungs, such as in the reproductive organs, bones and/or eyes. Left untreated, it can cause death.” Mueller started Tiggy on what would end up being months of medical therapeutics. After all, Tiggy needed to get back to work.

“We caught it quickly, and he handled it like a champ,” said Bohl. He was diagnosed in early October, and five months later, he is still being medicated and closely observed. Mueller said it’s important to stick to the standard medical protocol to ensure the organisms are completely eradicated.

She explained Tiggy’s primary work is for police and staff. “Our [police] stress hormones are higher,” she said. “Fifteen minutes with a dog after an incident lowers cortisol levels by 20 percent.” Tiggy’s therapy interactions aren’t always just for assisting officers, though. Bohl said sometimes when victims are inside the police building, he is brought in to calm children and adults alike.

Tiggy's K-9 handler Patrol Officer Heather Bohl said putting a cone on the pup so he couldn't access his tail was nearly useless, since it took no time at all for him to figure out how to bypass it.

Tiggy is a therapy dog working at the Greendale Police Department. Police work is among the top three professions for stress and related complications. Over time, it can compromise an officer's effectiveness on the job, mental and physical health, family life, career burnout and other major problems. Cortisol, known as the stress hormone, can be reduced by 20 percent in 15 minutes when a trained therapy dog interacts with an officer after an incident.

“He’s got a unique job,” said Bohl. She said Tiggy is not trained for large disasters or crisis events. As a therapy dog, his job is usually more one-on-one. That, of course, is completely negotiable if he’s at a school and is swarmed by a gaggle of children. He never objects to receiving multiple ear scratches, cuddles or belly rubs simultaneously. He enjoys showing off his adorable self at Pet Palooza. He is a gentle whisper when he interacts with dementia patients at the Greendale Memory Café. He is also available for the fire department. “He is spoiled, spoiled, spoiled,” she said.

Tiggy is part of the police department family, but in some ways he is also the Greendale community’s dog. He, along with his K-9 pal at work – Junior – are available for demonstrations upon request. Junior is trained for narcotics detection, tracking and handler protection.

For information or to make a vet appointment, call Greendale Village Vet at 414-421-1800, or visit https://greendalevillagevet.com/.  To reach the Greendale Police Department, call 414-423-2121.